o-Scan

O-Scan Rental program

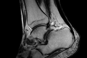
When you need high-quality extremity MRI, the O-scan dedicated MRI system is the perfect fit. The O-scan system’s complete range of extremity imaging capabilities, intuitive operation, and compact footprint combine to provide the optimal solution for both patients and practices.

Videos

Scroll to Top